歯が生えてくる位置の異常や、顎の骨の成長に左右差があった場合などに歯並びの一部が反対になる可能性があります。
歯槽性(歯の位置や、角度が原因)の場合、マルチブラケット装置や拡大装置を使用します。
骨格性の場合、外科処置になる可能性もございます。




| 治療 内容 | うけ口を治したいという主訴ですべての永久歯にブラケットをつけワイヤー治療を行いました。 |
|---|---|
| 治療 期間 | 2年 |








| 治療 内容 | 受け口と八重歯を治したいということで4本抜歯をして治療を行いました。 受け口だった横顔の口元の変化がわかります。素敵な笑顔になりましたね。 |
|---|---|
| 治療 期間 | 2年1ヶ月 |
| 治療 内容 |
反対咬合(受け口)を治したいと矯正治療を始めることになりました。 初診時の年齢は6歳3ヶ月。 下の両側の第一大臼歯は生えている途中で、上の片側の第一大臼歯もまだ生えていません。 この時期ぐらいまでが、反対咬合の治療のためのムーシールド(反対咬合用マウスピース)がとてもよく効きます。このお子さんのムーシールド(反対咬合用マウスピース)の使用期間は半年で反対咬合が治りました。 反対咬合はほっておくと、悪い癖(しゃべり方や舌の使い方)が起きたりし、顎の発達にもよくありません。 簡単になおせるうちに治しておくと大きな治療に至らなくて済むことが多いので、本人にとっても楽ですし、費用も最小限に抑えることができます。 お子さんの反対咬合で気になっていらっしゃる方はまずは歯科医へご相談いただき、 治せる時期を逃さないことをお勧めします。 |
|---|---|
| 治療 期間 |
6ヶ月(その後、 保定のためマウスピースは使用) |
| 治療の リスク | 使用しないと効果が出ない |
| 治療 内容 |
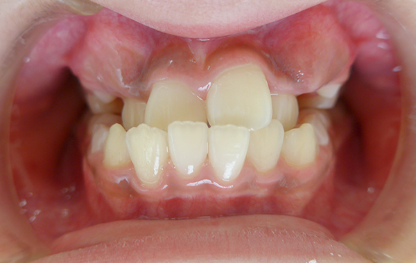
前歯が一本反対のかみ合わせの症例です。 上の前歯だけブラケットをつける部分矯正治療にて3か月で交叉咬合は改善しました。その後隣の前歯も交叉咬合となって生えてきたため、その歯も治療しました。現在永久歯への生え変わりを経過観察中。 |
|---|---|
| 治療 期間 |
1年 |
| 治療 内容 |
前歯の一部が逆(交叉咬合)を治したいが主訴です。 前歯だけのワイヤーによる部分治療を行ました。 このままほっておいたら、これから生え変わる側方の永久歯の生え方も悪くなりますし、なにより下顎の成長が悪い方向(あごが偏位したり、受け口が助長されていく)へいってしまいます。このような部分的に悪い歯並びは小学生の早い段階で治しておくことが、今後のあごや歯並びを良い方向へと導き出せるのでとても大切です。 期間も半年ですし、金額も全体治療の金額がかかりませんのでお勧めです。 |
|---|---|
| 治療 期間 |
7ヶ月 |
| 治療 内容 |
反対咬合を主訴に来院。 8歳10カ月から9歳7カ月の9カ月間の変化です。 取り外し可能の上顎前方牽引装置を就寝時に用いました。 横顔が著しく改善しています。早い段階で反対咬合を治しておくことはとても大切です。 |
|---|---|
| 治療 期間 |
9ヶ月 |
早期(4~6才)の反対咬合を治す装置です。
受け口のお子さんに有効で、就寝時に口の中に入れて使用するマウスピースです。舌や口の周りの筋肉のバランスを整え、筋肉の力で歯を動かします。乳歯しか生えていない4歳ぐらいのお子さんから、受け口の治療をはじめていただけます。
当院では、既製品のムーシールドは使用せず、必ず一人一人オーダーメードで作ったものを使用します。それにより、良い治療効果を得られています。
6才臼歯(第一大臼歯)が生える前から少し生えているぐらいまでの乳歯の反対咬合に適しています。
八王子市の歯医者 |
医療法人社団 Kirra とも歯科ゆり矯正歯科
| 所在地 | 〒192-0023 八王子市久保山町1-10スーパーアルプス3F |
|---|---|
| アクセス |
・多摩大橋(多摩大橋通り)から車で約2分 ・日野駅からバス日21「宇津木台東バス停」下車
|
| 診療時間 | 月 | 火 | 水 | 木 | 金 | 土 | 日 |
|---|---|---|---|---|---|---|---|
| 10:00~13:00 | − | ● | ● | ● | ● | ● | ▲ |
| 15:00~20:00 | − | ● | ● | ○ | ● | ◉ | − |
○15:00~20:30(木曜) ◉14:30~16:30(土曜)
▲9:00~13:00(日曜)
休診日:月曜、祝祭日、第2/4金曜